• Email especialistasdentalesmexicali@gmail.com
  • Phone +52 686 237 5289

Smile Design

Smile Design is an innovative procedure that combines art, science, and cutting-edge digital technology to create perfect and natural smiles. We use specialized digital equipment to visualize the final result from the first appointment, allowing you to see how your new smile will look before starting.

Our modern and minimally invasive approach considers multiple factors such as the shape of your face, the natural color of your teeth, the line of your lips, and your personality to harmonize teeth, lips, and face, creating a smile that enhances your natural beauty and is durable over time.

The treatment includes:

  • Complete Digital Facial Analysis
  • Personalized 3D Planning
  • Digital Simulation of the Result
  • Minimally Invasive Aesthetic Procedures

How long does the smile design treatment take?

The time is determined according to the case. Some treatments are completed in a few sessions, while others require a little more time. From the first appointment, we use digital technology to plan your smile and establish a personalized schedule.

No. Thanks to modern techniques and digital equipment, the treatment is comfortable and minimally invasive. Most patients do not feel pain, only a slight temporary sensitivity.

With good care and regular check-ups, the results can last for many years. We use high-quality materials and digital planning to achieve a durable and natural smile.

Includes a digital facial analysis, personalized 3D planning, virtual simulation of the result, and minimally invasive aesthetic procedures to harmonize teeth, lips, and face.

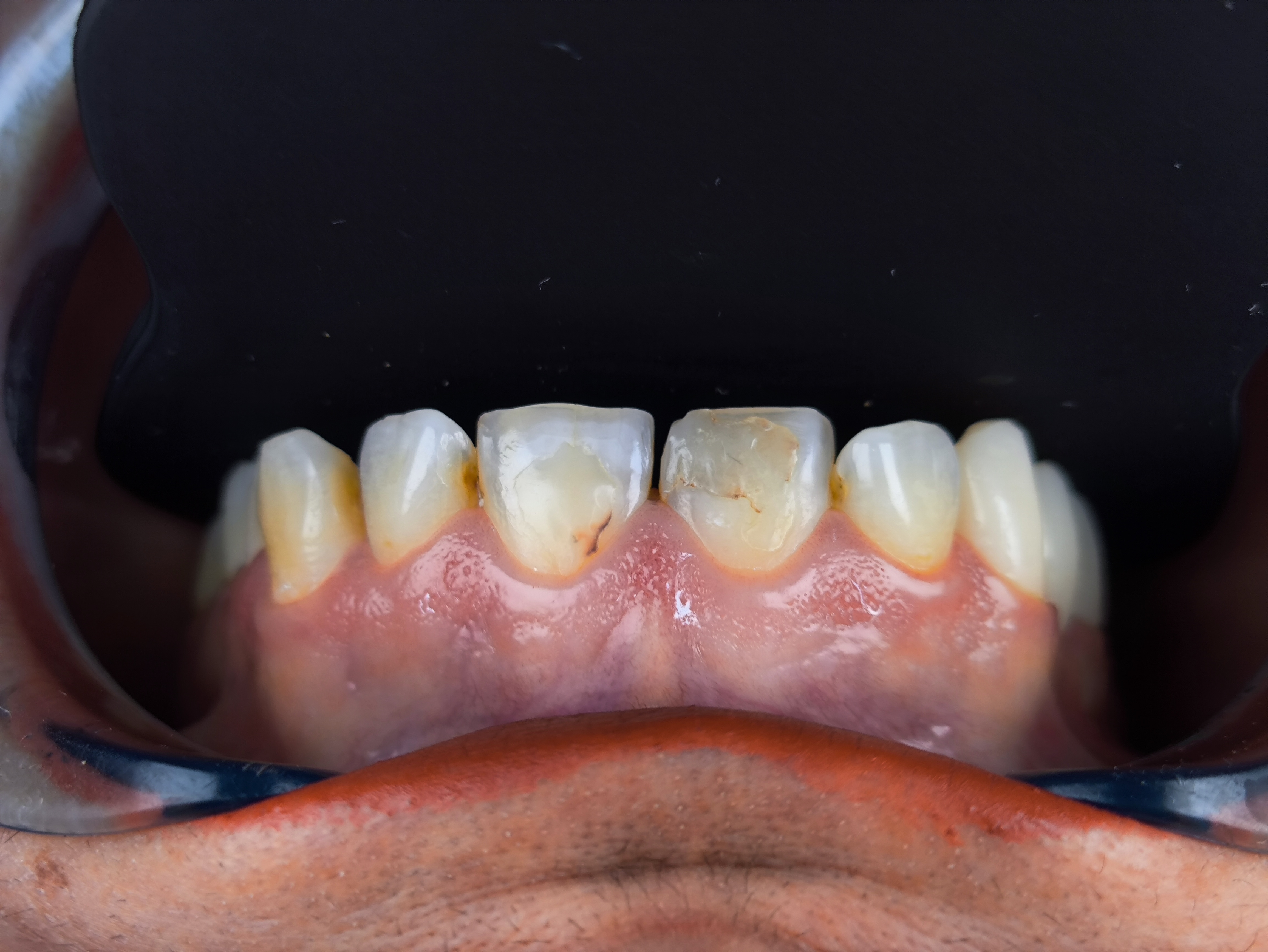
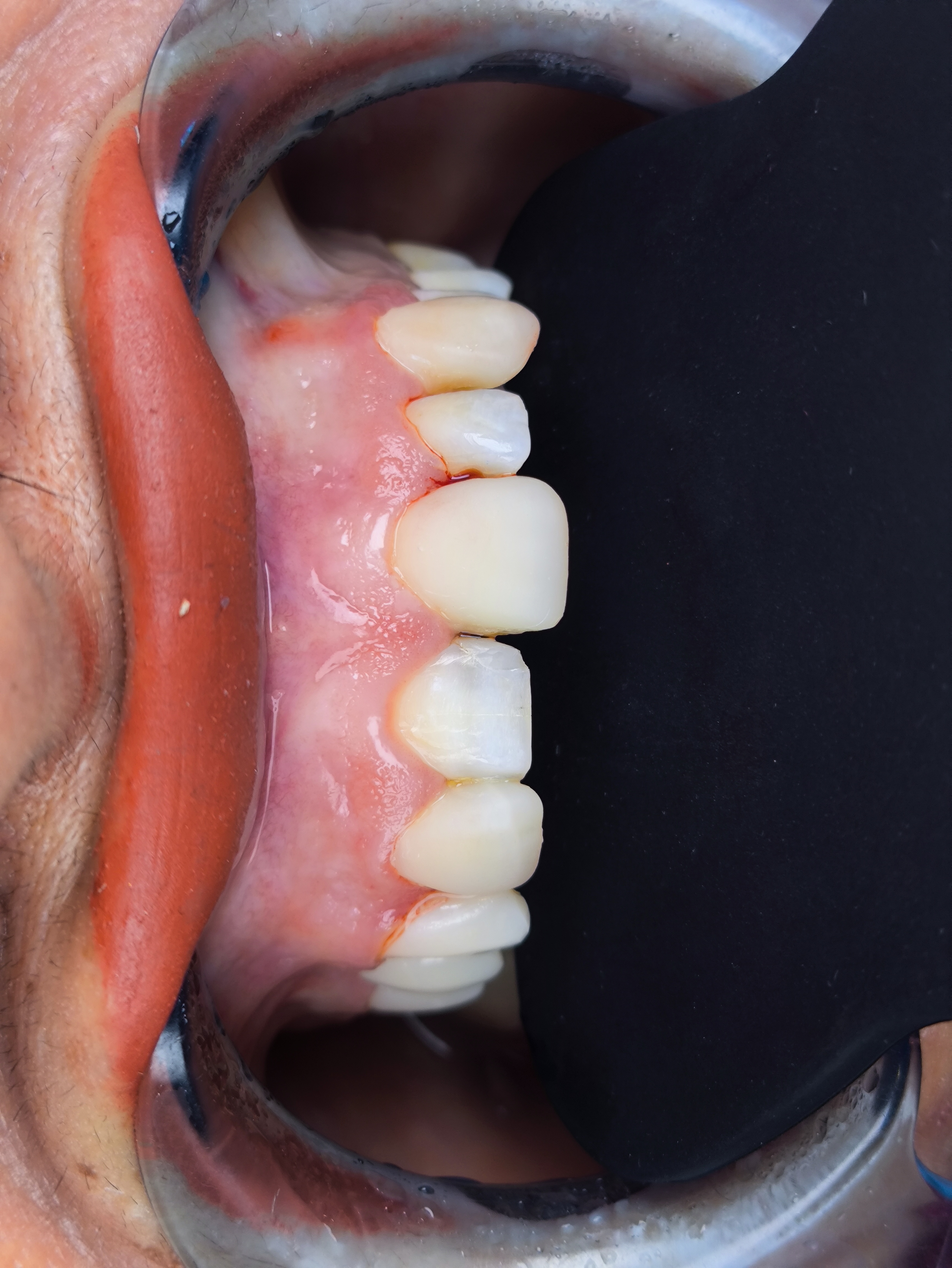
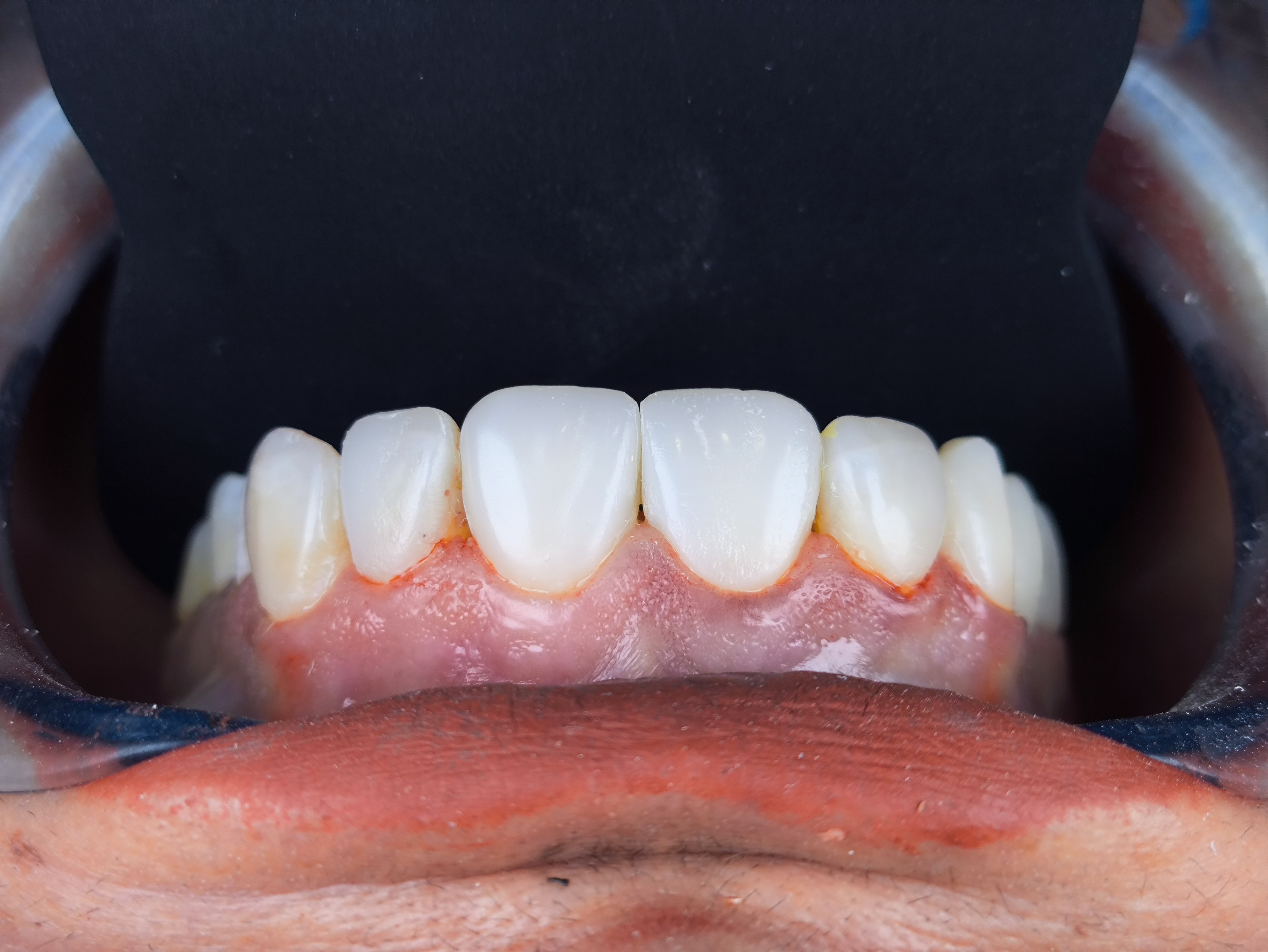
Smile Design Case 1
Smile Design Case 2
Smile Design Case 3
Smile Design Case 4
Smile Design Case 5
Smile Design Case 6
Smile Design Case 7
Interested in our services?

Start Your Transformation

Take the first step towards the smile you have always wanted. In your initial consultation, we will analyze your goals and design a personalized plan to achieve them.

Schedule your appointment with Dr. Gabriel Vázquez