• Email especialistasdentalesmexicali@gmail.com
  • Phone +52 686 237 5289

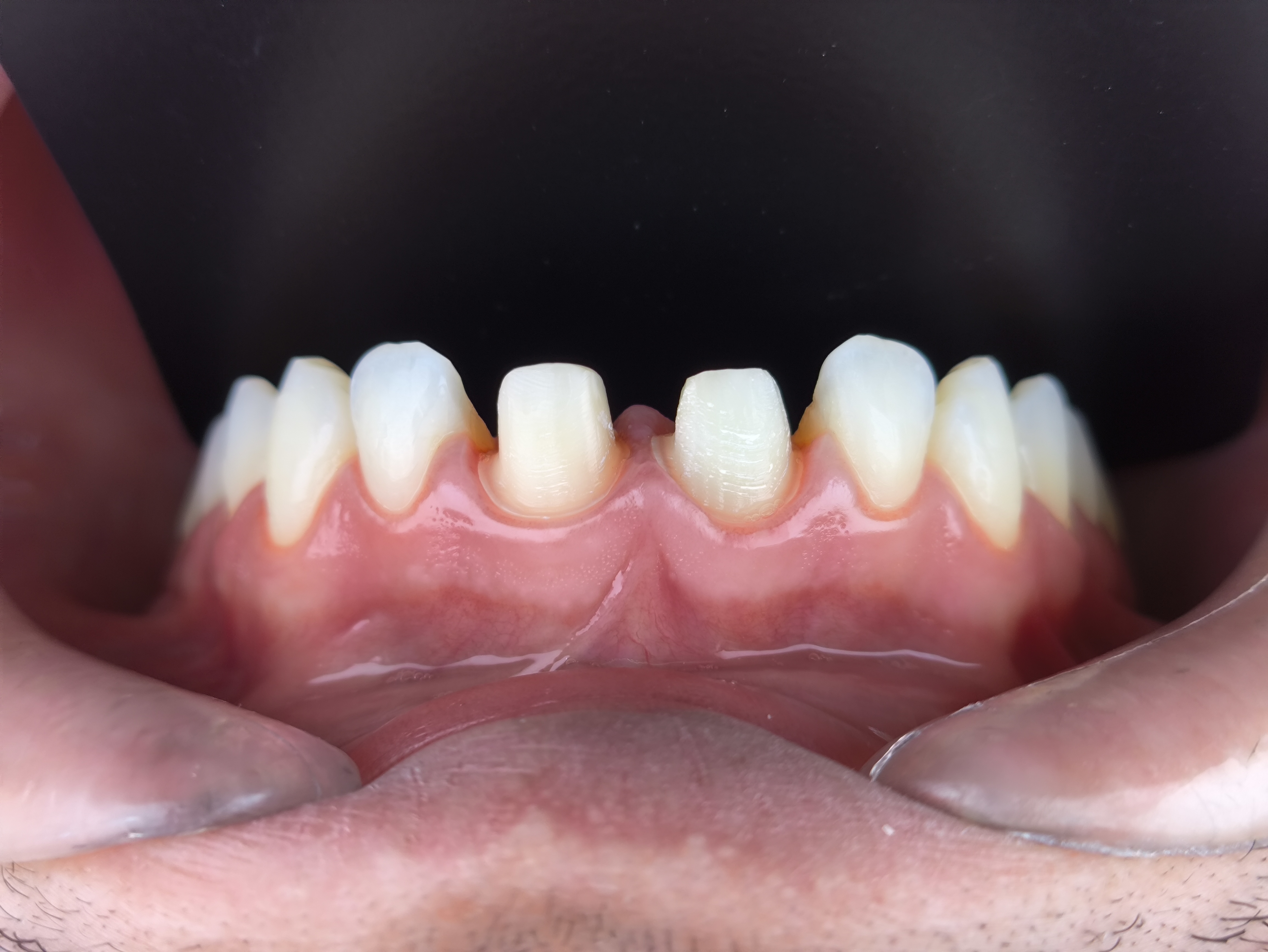
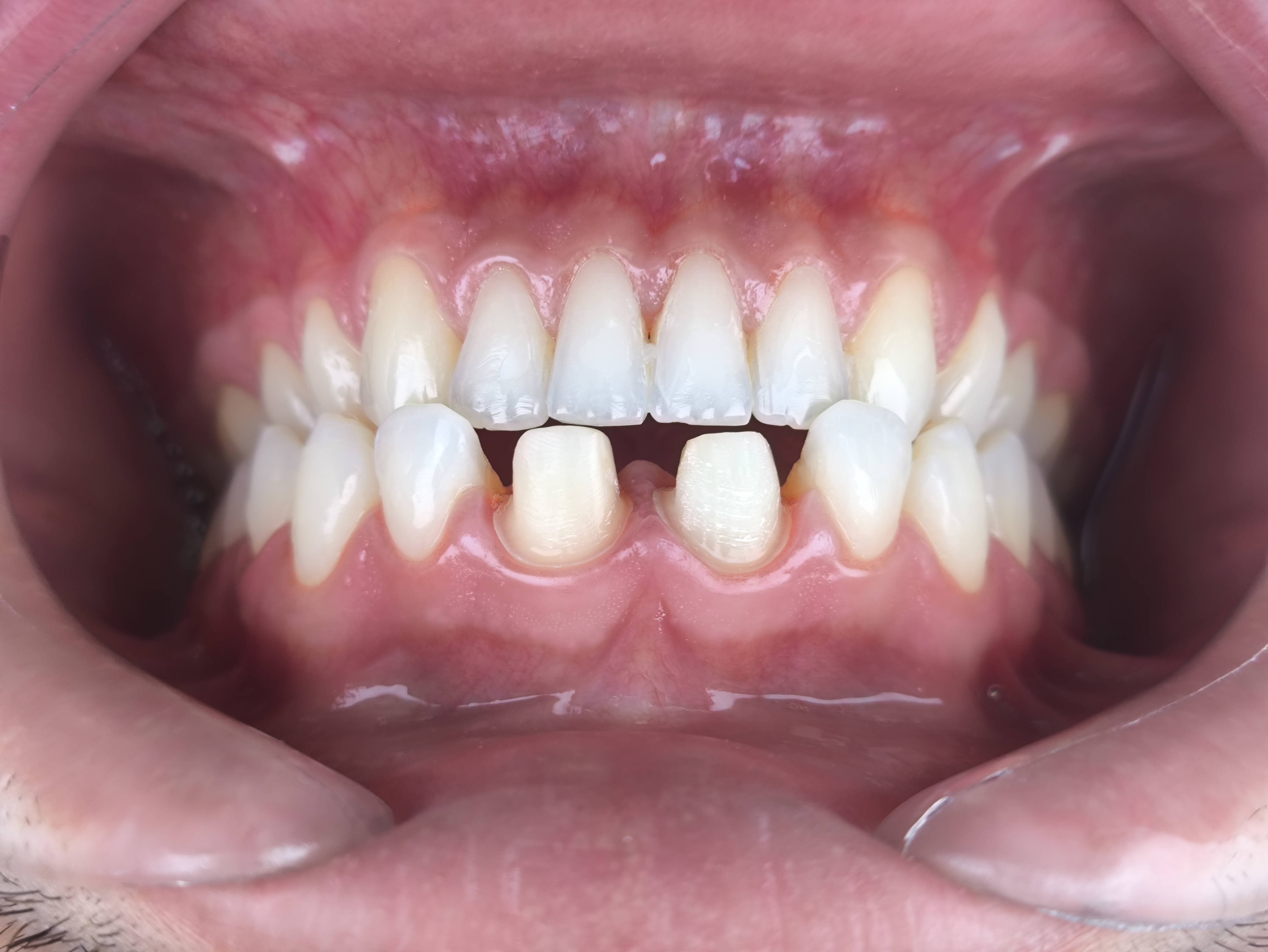
Dental Crowns

Dental crowns are highly aesthetic restorations that completely cover a damaged tooth, restoring its shape, function, and natural beauty. We use cutting-edge materials such as zirconia and pressed ceramics that offer exceptional resistance and an appearance identical to natural teeth.

Thanks to CAD/CAM digital technology, we can design and manufacture your crowns with millimeter precision in the clinic, with total quality and aesthetic control. A complete rehabilitation can be ready in just 2 to 3 days, using high-precision tools that make the process comfortable and fast.

The procedure includes:

  • Intraoral digital scanning
  • Computer-assisted personalized design
  • Manufacturing with CAD/CAM technology
  • Highly precise final placement

How long does the dental crown treatment take?

Thanks to digital technology, we can design and manufacture your crowns with precision in very little time. A complete rehabilitation can be ready in just 2 to 3 days, depending on the case.

No. It is performed with local anesthesia and high-precision tools, which makes the process comfortable and fast. After the procedure, there may only be slight temporary sensitivity.

Crowns have great durability. We use cutting-edge materials such as zirconia and pressed ceramics, which offer resistance, aesthetics, and an appearance identical to natural teeth.

It includes intraoral digital scanning, computer-assisted personalized design, manufacturing with CAD/CAM technology, and highly precise final placement. The entire process is performed in the clinic with total quality and aesthetic control.

Corona Case 1
Corona Case 2
Corona Case 3
Corona Case 4
Corona Case 5
Interested in our services?

Start Your Transformation

Take the first step towards the smile you have always wanted. In your initial consultation, we will analyze your goals and design a personalized plan to achieve them.

Schedule your appointment with Dr. Gabriel Vázquez